Escolha uma Cidade

  • Telefone
    Fixo

    3532 9249 26

    Celular

    (35) 9 9732-4038 (Vivo)

  • Telefone
    Fixo

    3532 9249 26

    Celular

    (35) 9 9732-4038 (Vivo)

  • Horário de funcionamento
  • Domingo Fechado

  • Como chegar
  • Endereço

    Rua Sete de Setembro, 14 - Centro

  • Cidade

    Alfenas MG

  • Link de Divulgação

  • Formas de Pagamento

    Cartão de Crédito, Cartão de Débito, Dinheiro, À Combinar

  • Descrição

    Consultório WDH - Ortodontia - Clínica Geral - Clareamento - Tratamento de canal - Restaurações - Limpeza - Outros

  • São alguns deles: 
1) Atrasar o tratamento - Em primeiro lugar não fazer a manutenção indicada por seu ortodontista pode atrasar o seu tratamento, ou seja, prolongar o tratamento e permanecer por mais tempo com o aparelho. 
2) Afeta a higiene bucal - Mesmo se o paciente faz a escovação adequada e utiliza o fio dental, ainda sim pode haver restos de alimentos entes os aparelhos e durante a manutenção o dentista realiza a higienização completa.
3) O aparelho perde a sua função - A consulta de manutenção de aparelho ortodôntico é realizada também para que ele seja ajustado. O ortodontista adapta o aparelho mais uma vez a fim de que ele volte a exercer força sobre os dentes e estimule-os a se reposicionarem.
Agende já a sua avaliação clínica e ortodôntica conosco! 😉
Segunda a sexta: 08h as 18h
Aos sábados: 08h as 12h
📍R. Sete de Setembro,  n 14 - Centro 
📞 (35) 3292-4926 ou (35) 99732-4038
  • Vem no zap e agende a sua avaliação conosco! 💙
Segunda a sexta: 08h as 18h
Aos sábados: 08h as 12h
📍R. Sete de Setembro, n 14 - Centro 
📞(35) 3292-4926 ou (35) 99732-4038
  • Você sabia? ⚠️
Essa situação ocorre somente quando a gengiva não está perfeitamente saudável. Dessa forma, ao usar o fio dental, a região que está sensível manifesta sintomas. O principal deles é o sangramento.
Um dos principais problemas da gengiva sangrar ao usar fio dental é a gengivite. Trata-se de uma inflamação que atinge as camadas mais externas e superficiais da gengiva.
Agende já a sua avaliação no nosso consultório! 💙
Segunda a sexta: 08h as 18h
Aos sábados: 08h as 12h
📍R. Sete de Setembro, n 14 - Centro 
📞 (35) 3292-4926 ou (35) 99732-4038
  • 1 - Clareamento dental é seguro 
Por se tratar de uma reação química e não de um procedimento abrasivo o clareamento não afeta, não enfraquece e não destrói a estrutura dos seus dentes 

2 - Aumento da autoestima
Seu sorriso faz parte da sua identidade, é seu “cartão de visita”

3 - Resultado duradouro 
Com uma rotina de cuidado e higienização os resultados são bem duradouros 

4 - Resultados rápidos 
Podemos ter um resultado significativo na primeira sessão ou nos primeiros dias de uso, caso opte por fazer o caseiro 

5 - Tratamento indolor 
Quando você faz o clareamento em uma clínica especializada, o dentista protege sua gengiva e mucosas para evitar qualquer tipo de ferimento, no caso de optar pelo caseiro orientamos o uso adequado e conseguimos controlar a sensibilidade com técnicas adequadas 

Que tal deixar seu sorriso mais iluminado?
  • ❓ Os dentes são extraídos por vários motivos:
• Uma cárie muito profunda no dente;
• Uma infecção que destruiu uma grande porção do dente ou do osso adjacente;
• Não existe espaço suficiente para todos os dentes em sua boca.
Muitos dentistas recomendam a extração de dentes inclusos que nasceram apenas parcialmente. As bactérias podem se instalar em volta de um dente que nasceu parcialmente, causando uma infecção, a qual pode se estender para o osso adjacente e tornar-se um problema ainda mais sério. Remover um dente incluso pode evitar uma infecção, danos aos dentes e osso adjacentes, além de evitar um sofrimento futuro.
Agende já a sua avaliação conosco!
📍R. Sete de Setembro, n 14 - Centro 
📞 (35) 3292-4926 ou (35) 99732-4038
  • Venha cuidar do seu sorriso no nosso consultório! 🧡
📍 R. Sete de Setembro, n 14 - Centro
  • 🦷 Os dois clareamentos cumprem a mesma função, que é deixar os dentes mais branquinhos. O que que diferencia um do outro, é o método como o processo é feito e o tempo de ação do produto usado.
✨ No clareamento de consultório o gel clareador conta com uma concentração maior, e um resultado imediato. 
✨ No clareamento caseiro, o gel clareador tem uma concentração mais baixa, o produto é aplicado em uma moldeira, durante o tempo determinado pelo seu dentista.
Agende já a sua avaliação no nosso consultório! 😍
  • 💙
  • Aguardamos a sua visita no nosso consultório! 😍
  • Indica-se adotar uma alimentação líquida e pastosa durante as primeiras 24 horas, após a extração! 
👇🏻 Algumas opções alimentares são:
• Sopa fria
• Sorvete cremoso
• Sucos e vitaminas 
• Verdura amassada/batida
• Ovos mexidos frio, etc.
Já agendou a sua avaliação no nosso consultório? 
Vem pra cá! Deixa a gente cuidar do seu sorriso! 💙
Segunda a sexta: 08h às 18h
Aos sábados: 08h às 12h
📍R. Sete de Setembro, n 14 - Centro 
📞 (35) 99732-4038 ou (35) 3292-4926
  • Convidamos você a conhecer o nosso consultório e nossa equipe! 😁
Segunda a sexta: 08h as 18h
Aos sábados: 08h as 12h
📞 (35) 3292-4926 ou (35) 99732-4038
  • Traz ele aqui para o nosso consultório, que vamos cuidar dele juntos! 😁
Segunda a sexta: 08h às 18h
Aos sábados: 08h às 12h
📍R. Sete de Setembro, n 14 - Centro
📞(35) 3292-4926 ou (35) 99732-4038
  • Ortodontia, além da questão estética, está estreitamente ligada à saúde bucal.
Muitas vezes, o que faz o paciente buscar um ortodontista é o desconforto com relação à aparência. Isso não é por acaso. Dentes tortos e/ou desalinhados prejudicam bastante a autoestima.
No entanto, além desse desconforto com relação à aparência, há uma série de outras consequências, quando a posição e alinhamento dos dentes não estão adequados. Como, por exemplo: bruxismo, pequenas fraturas, cáries, gengivite, periodontite, problemas articulares na ATM, entre outras consequências.
Venha fazer uma avaliação no nosso consultório! 😁
Segunda a sexta: 08h às 18h
Aos sábados: 08h às 12h
📍R. Sete de Setembro, n 14 - Centro
📞 (35) 3292-4926 ou (35) 99732-4038
  • Se liga nessa dica! 👆🏻😍
O nosso consultório está a sua disposição, para cuidarmos e deixarmos seu sorriso cada vez mais lindo!!!
Agende já a sua avaliação conosco. ⚠️
Segunda a sexta: 08h às 18h
Aos sábados: 08h às 12h
📍R. Sete de Setembro, n 14 - Centro 
📞 (35) 99732-4038 ou (35) 3292-4926
  • ✓ Tratamento pode ser realizado em consulta única;
 ✓ Dispensa uso de provisórios;
 ✓ Menor desgaste dental;
 ✓ Preço baixo comparado a lentes de contato dental e faceta de porcelana;
 ✓ Resultados estéticos satisfatórios;
 ✓ Facilidade para realizar consertos.

Vamos agendar uma avaliação para cuidarmos do seu sorriso? 😁
Segunda a sexta: 08h às 18h
Aos sábados: 08h às 12h

📍R. Sete de Setembro, n 14 - Centro 
📞 (35) 3292-4926 ou (35) 99732-4038
  • Definitivamente, não. Colocar aparelho com cárie acarreta uma série de problemas ao longo do tempo e ainda dificulta o tratamento que deve ser feito no dente afetado.
Outro fator é que o dente com cárie sofre muito com o acúmulo de bactérias, aumentando o risco de outros problemas.
Antes de colocar aparelho, independentemente do tipo, é preciso realizar todos os tratamentos bucais necessários.
Venha já fazer sua avaliação clínica e ortodôntica no nosso consultório! 😊
Segunda a sexta: 08h às 18h
Aos sábados: 08h às 12h
📍R. Sete de Setembro, n 14 - Centro
📞 (35) 3292-4926 ou (35) 99732-4038
  • Se liga nessa dica 👆🏻😄
Nosso consultório está de portas abertas para você! Queremos deixar o seu sorriso mais saudável e mais belo! 
Agende já a sua avaliação! 💙
📍 R. Sete de Setembro, n 14 - Centro
 📞 (35) 99732-4038 ou (35) 3292-4926
  • Agende já a sua avaliação!!! ❤
Segunda a sexta: 08h as 18h
Aos sábados: 08h as 12h
📍 R. Sete de Setembro, n 14 - Centro 
📞 (35) 3292-4926 ou (35) 99732-4038
  • Se essa é a sua preocupação, pode relaxar! É totalmente natural que alguns pacientes sintam dor, quando os sisos estão prestes a dar as carinhas. Isso acontece durante o período de erupção do terceiro molar, porque pode ocorrer a pericoronarite. Essa inflamação no capuz gengival costuma causar bastante dor e desconforto, mas existem outros fatores que também podem influenciar nesse quadro. O mau posicionamento dentário na arcada durante e após a erupção também pode provocar dentre outros: inflamação na gengiva, abscessos, reabsorções dos dentes vizinhos, lesões císticas e tumorais, irritação na região e dor. Nesses casos, é recomendada a exodontia do mesmo!
Agende já a sua avaliação conosco 😊
Segunda a sexta: 08h as 18h
Aos sábados: 08h as 12h
📍R. Sete de Setembro, n 14 - Centro
📞 (35) 99732-4038 ou (35) 3292-4926
  • ❓Você sente sensibilidade dental quando morde um picolé? Ou até mesmo quando toma um copo de água gelada? Saiba que isso não é normal!
É bem provável que você tenha uma hipersensibilidade dentinária, e essa condição precisa de tratamento. Não deixe sua saúde de lado, procure uma ajuda profissional ⚠️
Agende já a sua avaliação conosco! 😊
Segunda a sexta: 08h às 18h
Aos sábados: 08h às 12h 
📍R. Sete de Setembro, n 14 - Centro 
📞 (35) 3292-4926 ou (35) 99732-4038
  • 📞😉
  • O fio dental deve ser usado antes da escovação, assim a gente consegue remover toda a placa que fica entre os dentes e depois a escova complementa a limpeza! A tática vale mais para garantir o uso das duas ferramentas: escova e fio. Pois, quem escova os dentes primeiro, muitas vezes, acaba deixando o fio dental pra lá, achando que a higiene já está feita. 
Marque uma avaliação conosco! 💕
Segunda a sexta: 08h às 18h 
Aos sábados: 08h às 12h 
📍 R. Sete de Setembro, n 14 - Centro
📞 (35) 3292-4926 ou (35) 99732-4038
  • Já vamos colocar esse lembrete para a semana!!! Aguardamos sua visita em nosso consultório! 💙
Nos colocamos a disposição em lhe dar o sorriso mais lindo 😄 
Segunda a sexta: 08h as 18h
Aos sábados: 08h as 12h
📍R. Sete de Setembro, n 14 - Centro
📞 (35) 3292-4926 ou (35) 99732-4038
  • ⚠️ VOCÊ SABIA? ⚠️
A sensibilidade dentária tem sua origem na exposição da dentina, cuja é a parte do dente que recobre o nervo, devido à perda do esmalte ou à retração gengival. As mudanças de temperatura e certos alimentos, ácidos ou doces, podem causar hipersensibilidade!
Agende já a sua avaliação conosco. ☺️
Segunda a sexta: 08h as 18h
Aos sábados: 08h as 12h
📍 R. Sete de Setembro, n 14 - Centro
📞 (35) 3292-4926 ou (35) 99732-4038
  • Você sabia? 🤔
A obturação consiste no selamento do canal radicular – a raiz do dente, situada dentro do osso. Então, a obturação nada mais é do que o vedamento dos canais radiculares com determinado material. Diferentemente da restauração, que trata o problema externamente. A restauração é um reparo realizado na coroa do dente, que é a parte exposta da cavidade oral, que fica acima do nível da gengiva.
Agende já a sua avaliação no nosso consultório! 💙
📍R. Sete de Setembro, n 14 - Centro
📞 (35) 3292-4926 ou (35) 99732-4038
  • Gostaríamos de agradecer a Deus e, a nossos pacientes amigos pelo reconhecimento por nossos serviços prestados!
Trabalhamos procurando sempre fazer o melhor, promovendo saúde e satisfação... 🙂
Gratos também a nossa equipe e, a todos que participam de nossa evolução!!!
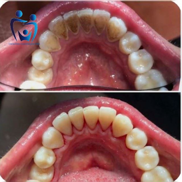
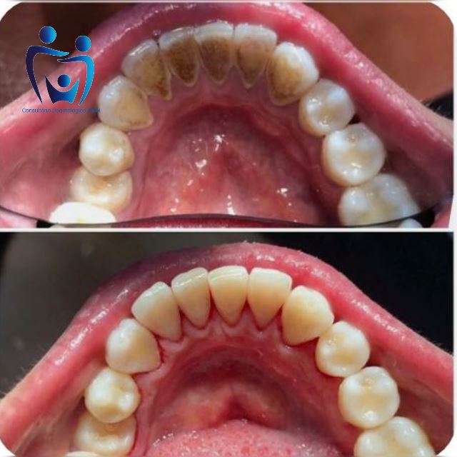
  • O que são as bactérias cromogênicas? 
⚠️ Os restos de alimentos que ficam na boca, quando a escovação não é feita da forma correta, ajudam na proliferação das bactérias que, em contato com a saliva, podem resultar nas cromogênicas. As manchas provenientes desse tipo de bactéria têm uma pigmentação bem escura, que ficam alojadas próxima a gengiva.
⚠️ Para o tratamento, o dentista irá fazer uma raspagem nas manchas, a chamada profilaxia, que deve ser realizada a cada 6 meses. Por isso a prevenção é sempre o melhor remédio. Quando cuidamos dos nossos dentes, realizando a escovação regular e indo ao consultório periodicamente, diminuímos drasticamente a possibilidade de ter manchas com esse tipo de bactéria.
Agende já a sua avaliação e venha cuidar do seu sorriso no nosso consultório! 💙
Segunda a sexta: 08h às 18h 
Aos sábados: 08h às 12h
📍 R. Sete de Setembro, n 14 - Centro 
📞 (35) 3292-4926 ou (35) 99732-4038
  • ❌ Não devemos usar enxaguante bucal todos os dias, principalmente se ele tem álcool na composição!
❗Usar enxaguante bucal todos os dias, pode provocar um desequilíbrio na flora bucal. Uso indiscriminado também pode provocar prejuízos aos tecidos gengivais, que sofrem com a ação química desses produtos. Por isso, a recomendação é: use-o moderadamente, com a indicação do seu dentista! 🦷
Segunda a sexta: 08h às 18h
Aos sábados: 08h às 12h
📞 (35) 3292-4926 ou (35) 99732-4038 
📍R. Sete de Setembro, n 14 - Centro
  • Segue as dicas: 👇🏻
1. Troque a escova regularmente: a cada 3 meses é o indicado. 
2. Lave e enxágue a escova antes do uso.
3. Jamais deixe sua escova em contato com outras. 
4. Mantenha distância do vaso sanitário.
5. Não use porta-escova ou capinhas protetoras de cerdas.

Estamos a disposição para lhe dar o sorriso mais saudável! Marque já a sua avaliação conosco. 😁
📍 R. Sete de Setembro, n 14 - Centro
📞 (35) 3292-4926 ou (35) 99732-4038
  • Você lembra da última vez que foi ao dentista? 🤔 
Agende uma avaliação conosco!
  • ❗A gengivite é uma inflamação nas gengivas, provocada na maioria dos casos, por uma limpeza bucal inadequada. Entre outros sintomas, a doença causa vermelhidão, sangramento e mau hálito. Sem tratamento, ela evolui para a periodontite, uma inflamação que danifica as estruturas que sustentam o dente e que chega a comprometer a saúde cardiovascular. Mesmo que a gengivite apareça por outros motivos, valorizar a higiene bucal é a regra número um para impedir seu desenvolvimento. Ou seja, use e abuse do fio dental e da escova ao fim de cada refeição. Aliás, manter a escova sempre seca e limpa e trocá-la a cada três meses, evita que ela vire uma mina de bactérias. Visitas regulares ao dentista também ajudam. Venha fazer a sua avaliação conosco! 😄
Segunda a sexta: 08h às 18h
Aos sábados: 08h às 12h
📍R. Sete de Setembro, n 14 - Centro
📞 (35) 99732-4038 ou (35) 3292-4926
  • Venha nos fazer uma visita! ❤ 
📞(35) 3292-4926 ou (35) 99732-4038
  • Antes e depois da aplicação de facetas diretas nos dentes anteriores! 😍
Sempre buscamos atender você com excelência!!! Marque uma avaliação conosco 👇🏻
Segunda a sexta: 08h às 18h
Aos sábados: 08h às 12h
📍R. Sete de Setembro, n 14 - Centro 
📞 (35) 99732-4038 ou (35) 3292-4926
  • Venha cuidar do seu sorriso junto com a gente! Marque uma avaliação no nosso consultório! ☺️
R. Sete de Setembro, n 14 - Centro
📞 (35) 99732-4038 ou (35) 3292-4926
  • Entre em contato! (35) 99732-4038 😄
  • Olhem esse antes e depois de uma limpeza dentária!!! 😱👆🏼
Nós do Consultório WDH, estamos aqui para ajudar você a conquistar aquele belo sorriso! Marque já a sua avaliação conosco 💙
Segunda a sexta: 08h às 18h 
Aos sábados: 08h às 12h 
📍R. Sete de Setembro, n 14 - Centro 
📞 (35) 3292-4926 ou (35) 99732-4038
  • A cárie, também conhecida popularmente como dente podre, é uma infecção dos dentes causada por bactérias naturalmente presentes na boca e que se acumulam formando placas duras e difíceis de serem removidas em casa. Nesta placa, as bactérias vão aos poucos perfurando o esmalte dos dentes e causando dor e desconforto quando chegam nas partes mais profundas dos dentes. A única forma de tratar uma cárie dentária é numa consulta com o cirurgião dentista, não existindo um tratamento caseiro capaz de eliminá-la. Por vezes, basta apenas 1 sessão para eliminar a cárie, com uma restauração do dente, em que é feita a remoção da cárie e de todo o tecido infectado, seguida da aplicação de resina. Quando a cárie é identificada em muitos dentes, o tratamento pode ser mais prolongado, podendo ser preciso recorrer ao tratamento de canal, caso a cárie esteja mais profunda, afetando o nervo do dente. Ou até mesmo à perda do dente, por conta da grande destruição, sem possibilidade de recuperar, que depois precisa ser substituído por uma prótese.
Venha marcar uma avaliação conosco!
📍R. Sete de Setembro, n 14 - Centro
📞 (35) 3292-4926 ou (35) 99732-4038
  • Marque uma avaliação ortodôntica conosco! ❤
Agende:
📞 (35) 3292-4926 ou (35) 99732-4038
📍 R. Sete de Setembro, n 14 - Centro
  • ⚠️ As próteses dentárias são estruturas que podem ser utilizadas com o objetivo de restaurar o sorriso por meio da substituição de um ou mais dentes que faltam na boca ou que estão desgastados. Assim, as próteses são indicadas pelo dentista com o objetivo de melhorar a mastigação e a fala da pessoa, que podem ser prejudicadas pela falta de dente. O tipo de prótese indicada pelo dentista depende da quantidade de dentes comprometidos ou em falta e da condição da gengiva. As próteses dentárias são indicadas pelo dentista de acordo com a quantidade de dentes comprometidos ou em falta, além da condição geral da boca do paciente. Assim, as próteses podem ser classificadas em parciais, quando apenas alguns dentes são substituídos na prótese, ou total, quando há necessidade de substituir todos os dentes, sendo esse último tipo de prótese mais conhecida como dentadura. 
📍R. Sete de Setembro, n 14 - Centro
📞 (35) 3292-4926 ou (35) 99732-4038
  • Um dia sem sorrir é um dia desperdiçado! Comece sua semana com alegria! Desejamos a você uma semana repleta de felicidades e com muitos sorrisos! 😁
Rua sete de setembro, n 14 - Centro
☎️ (35) 3292-4926 ou 📲 (35) 99732-4038
  • Ela consiste, como o próprio nome já nos indica, na limpeza da superfície dentária, o que inclui toda a região exposta dos dentes. Assim, há a remoção efetiva da potencial placa bacteriana, que quando não é eliminada, pode evoluir para problemas mais sérios como o tártaro, a gengivite e a doença periodontal.
Esse é um procedimento muito seguro e pouco invasivo, que pode ser realizado por quase todas as pessoas. Com a limpeza, o paciente ganha não só em saúde, mas também em um sorriso muito mais bonito e confiante.
Agende uma limpeza dentária conosco! ☺
📞 (35) 99732-4038 ou (35) 3292-4926
  • Estamos aqui para te ajudar! Marque uma avaliação conosco ❤
  • Venha nos fazer uma visita! Agende uma avaliação conosco ☺
  • Fiquem atentos.....
Quer saber mais ?! Agende já sua avaliação ☎️ 3292-4926 ou pelo nosso whatsapp 📲 (35) 99732-4038 

Aguardamos vocês 😁
  • Pois então...... onde tem escrito que é palito de dente ?🤔
A vida toda você ai acreditando que o famoso palito roliço de madeira tinha função de limpar entre seus dentes.. 😟

Mas está bem longe disso! Esse material pode machucar a sua gengiva e causar até retrações gengivais ....

Use palito para comer petiscos, ok ? 🍡

Dica de ouro......
Para limpar os dentes o indicado é o fio dental. 

Envie esse post para alguém que precisa  saber sobre essa informação....

Quer saber mais ? Agende uma Avaliação, aqui te explicamos tudo o ideal para os cuidados de sua saúde bucal....
☎️3292-4926 ou pelo nosso whatsapp 📲 (35) 99732-4038

#saúde _bucal #dentes_mais_limpos #cuidados_diarios
  • Olha como ficou linda essa faceta ? Feita pelas mãos da Dra Camila Bernardes ........ 


Venha nos fazer uma visita!!! Temos excelentes profissionais capacitados para atende - lo (a) !!! 😁

OBS: Fotos 100% autorizadas pela paciente ❣

Telefones para contato ⬇️
☎️ 3292-4926 ou pelo nosso whatsapp 📲 (35) 99732-4028
  • Por isso é importante que não deixem de usar o fio dental ....... Ainda está em dúvidas de como cuidar da sua saúde bucal?! 

Venha nos fazer uma visita, aqui te orientamos o ideal para sua saúde bucal.....

Telefones para contato ⬇️
☎️3292-4926 ou 📲 (35) 99732-4038
  • Consultório Odontológico WDH
  • Ah...... Um sorriso mais clarinho faz diferença sim! Venha conhecer o tratamento ideal pra você 😁😉
☎️ 3292-4926 ou (35) 99732-4038 ........... Estamos esperando por você 😄
  • Limpeza + remoção de cálculo!!!
  • Curta só esse antes e depois ........ Reconstrução do dente oclusal em resina composta..... Fantástico não é?? Tá esperando o que, corra já para o consultório odontológico WDH e nao perca mais tempo !!! 😁 Fotos 100% autorisadas pelo paciente ✔
  • Olha só esse antes e depois !!! 😱 Após 3 sessões de clareamento...... Ficou um máximo não achou ? 🤩 
E você que sonha em ter seus dentes branquinhos, corra já para cá e não perca essa oportunidade de ficar ainda mais lindo (a) seu sorriso ......
R: Sete de Setembro N14 centro de Alfenas 
☎️3292-4036 ou 📲 (35) o9732-4038
  • Se liga nesse antes e depois! 😱..... E você, esta com sua limpeza em dia ? Para saber o certo, a limpeza deve ser feita a cada 6 meses. 😉 Tá esperando o que?! Agende já sua avaliação, temos excelentes profissionais.... 😁
R: sete de setembro n14 centro Alfenas 
☎️3292-4926 ou (35) 99732-4038
Obs: Fotos 100% autorizadas pelo paciente!!! 😁🤩
  • Pra você que tem dificuldades em fazer sua higiene bucal, aqui vai algumas dicas de como fazer os cuidados diários da sua saúde bucal.... 😁🤩
  • Cuide do seu bem - estar nos pequenos detalhes, que para nos sao grandes feitos ...
Sorria mais e veja os benefícios ao seu redor ...... Venha nos visitar rua Sete De Setembro N14 - centro Alfenas 
Telefones para contato 3292-4926 ou (35)99732-4038
  • Seu sorriso aqui é comprovado.... venha nos visitar 😁🤩
  • mau hálito é um dos problemas mais comuns relacionados a higiene bucal, podendo se tornar um grande inconveniente. Está na dúvida e quer descobrir se tem mesmo mau hálito?
Primeiro acompanhe abaixo se você se identifica com algumas das alternativas abaixo :
?? É fumante ?
?? Bebe pouco líquido?
?? Ingere bebida alcoólica regularmente?
?? Você ronca ?
?? Sente a boca seca com frequência?
?? Sua gengiva sangra durante a escavação ou ao usar o fio dental ?
?? Faz mais de seis meses que não vai ao dentista? ??

Se alguns desses fatores ocorre com você, é possível que tenha sim problemas de mau hálito!!!! Tá esperando o que para agendar sua avaliação???? ??
  • As cáries são danificações permanentes nos nossos dentes, que geram nossas vidas. Uma série de problemas malefícios......
Então sempre lembre dessas dicas, pois valem muito ??

° Escove os dentes pelo menos três vezes ao dia;
° Utilize o fio dental regularmente;
° Troque sua escova de dente , quando perceber que ela está muito gasta;
° Visite o dentista para fazer exames e limpezas regularmente.

E você tem feito o cuidado necessário para sua saúde bucal ???? Venha nos fazer uma visita..
  • A melhor maneira de saber se sua saúde bucal está em ordem é agendando uma avaliação com seu dentista !
Aguardo você .
  • Dois problemas diferentes desencadeiam aqueles momento de aflição que chegam a impedir muita gente de saborear alimentos gelados ou recém-saídos do fogo .......

Os gatilhos da sensibilidade:
• Dieta ácida
• Má higiene
• Escovacão bruta
• Dente quebrado

Como se trata???
• Visitas ao dentista a cada 1 mês
• Escovas com cerdas macias
• Enxágue com Flúor

Agende já uma avaliação e tire todas suas dúvidas com a gente
  • Você sabe identificar o tártaro nos seus dentes? Muitas pessoas não conseguem e julgam que ele faz parte dos dentes. Quando a higienizaçao bucal é ineficiente, forma-se uma película de restos de alimentos e bactérias que fica alojada sobre os dentes e gengivas. Quando não é removida, mineraliza sob a ação da saliva e forma o cálculo ou tártaro dental........🦷
Então ta esperando o que para agendar sua avaliação?!!! Aguardamos você 😁
  • Consultório Odontológico WDH
  • Consultório Odontológico WDH
  • Consultório Odontológico WDH
  • Consultório Odontológico WDH
  • Consultório Odontológico WDH
  • Consultório Odontológico WDH
  • Enviar mensagem para

    Padaria Delícias do Carmo